UNIVERSITY CLINIC FOR NEUROSURGERY

Spinal Cord Tumors

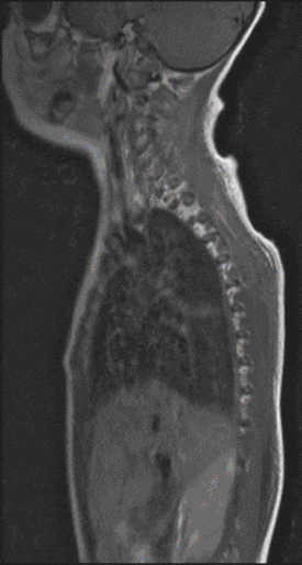
In most cases, the tumors of the spinal cord are histologically similar to the tumors of the brain. However, the treatment strategy differs significantly from operations on the brain. Tumors can arise outside the spinal cord and compress it massively, or they arise inside the spinal cord and can drive it up from the inside. Both pose a threat to function with the consequence of spinal cord syndromes (e.g. paraplegia).

Surgical expertise is critical in spinal cord tumors for a good treatment outcome.

In addition to modern imaging techniques, our clinic has all the necessary intraoperative technologies (e.g. electrophysiological monitoring, ultrasound aspirator, etc.) for the safe treatment of spinal cord tumors and other tumors that threaten the spinal cord.

Last Modification: 12.07.2023 - Contact Person:

Sie können eine Nachricht versenden an: Webmaster
Sicherheitsabfrage:
Captcha
 
Lösung: