UNIVERSITY CLINIC FOR RADIOLOGY AND NUCLEAR MEDICINE

Minimally Invasive Treatment of Vascular Diseases and Deformities/Malformations

Recanalizing/vasodilating procedures

  • Percutaneous transluminal angioplasty (PTA)
  • Endovascular prosthetic (stent) / endograft implantation (thoracic and abdominal aorta, visceral vessels, renal arteries, peripheral vessels, hemodialysis shunts)
  • Local fibrinolysis, mechanical thrombectomy/atherectomy
Bildergalerie (4 Bilder)
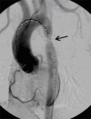
  Aortenkoarktationsstenose vor Stentimplantation (Bild 1 von 4) Vorwärts »
« Zurück Aortenkoarktationsstenose nach Stentimplantation (Bild 2 von 4) Vorwärts »
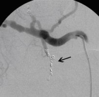
« Zurück Vor perkutaner transluminaler Angioplastie (PTA) der Unterschenkelgefäße (Bild 3 von 4) Vorwärts »
« Zurück Nach perkutaner transluminaler Angioplastie (PTA) der Unterschenkelgefäße (Bild 4 von 4)  

Occluding/vasoconstrictive procedures

  • Embolization for gastrointestinal and/or postoperative bleeding
  • Reduction of tumor vascularization preoperatively
  • Embolization/occlusion for the elimination of vascular lesions, aneurysms, fistulas, and AV malformations (peripheral, pulmonary, renal)
  • Sclerotherapy of varicose veins of the testicular/ovarian veins (for pelvic vein syndrome)
Bildergalerie (5 Bilder)
  Postoperative abdominelle Blutungen bei chronischer Pankreatitis (Pfeile: Art. hepatica und Art. gastroduodenalis). (Bild 1 von 5) Vorwärts »
« Zurück Postoperative abdominelle Blutungen bei chronischer Pankreatitis vor Embolisation der Art. gastroduodenalis mittels Metallspiralen (Coils) (Bild 2 von 5) Vorwärts »
« Zurück Postoperative abdominelle Blutungen bei chronischer Pankreatitis nach Embolisation der Art. gastroduodenalis mittels Metallspiralen (Coils) (Bild 3 von 5) Vorwärts »
« Zurück Perkutane Embolisation einer low-flow venösen Malformation (Gefäßmissbildung) der Fußsohle-1 (Bild 4 von 5) Vorwärts »
« Zurück Perkutane Embolisation einer low-flow venösen Malformation (Gefäßmissbildung) der Fußsohle-2 (Bild 5 von 5)  

Special procedures

  • Central venous port placement
  • Permanent venous catheterization (Hickman, Shaldon, PICC-line = peripherally inserted central venous catheter)
  • Transjugular intrahepatic portosystemic shunt (TIPSS) placement (for uncontrollable esophageal variceal bleeding, refractory ascites)
  • Vena cava filter implantation (for recurrent/life-threatening pulmonary embolism due to deep vein thrombosis)
  • Transjugular liver biopsy
  • Percutaneous transvascular foreign body extraction (cath fragments, electrode remnants, etc.)
  • Hormone blood sampling (parathyroid hormone, cortisol, ACTH, renin/angiotensin, insulin)
Bildergalerie (4 Bilder)
  Implantation eines Port-Systems über die rechte innere Drosselvene (V. jugularis interna dextra) (Bild 1 von 4) Vorwärts »
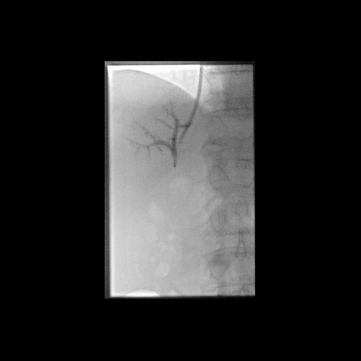
« Zurück Erfolgreiche Implantation eines transjugulären intrahepatischen portosystemischen Shunts (TIPSS) bei Leberzirrhose und refraktärem Aszites. Darstellung der Lebervenen (Bild 2 von 4) Vorwärts »
« Zurück Erfolgreiche Implantation eines transjugulären intrahepatischen portosystemischen Shunts (TIPSS) bei Leberzirrhose und refraktärem Aszites. Transhepatische Punktion der Pfortader unter sonographischer Kontrolle (Bild 3 von 4) Vorwärts »
« Zurück Erfolgreiche Implantation eines transjugulären intrahepatischen portosystemischen Shunts (TIPSS) bei Leberzirrhose und refraktärem Aszites. Implantation eines Stentgrafts (Bild 4 von 4)  

Last Modification: 20.02.2025 - Contact Person:

Sie können eine Nachricht versenden an: Webmaster
Sicherheitsabfrage:
Captcha
 
Lösung: